Compartir

Formación Presencial

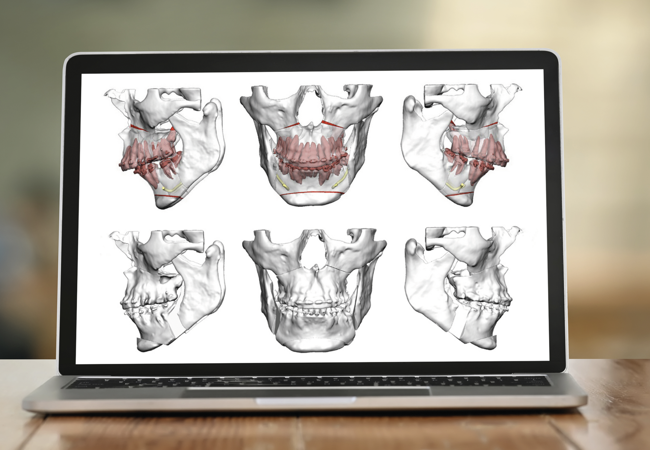
Innovación y Avances en Cirugía Ortognática

MARATÓN DE CASOS CLÍNICOS PARA ORTODONCISTAS Y CMF

PRELANZAMIENTO: Apúntate a la lista de interesados y disfruta de ventajas exclusivas:
1. Serás de los primeros en enterarte del programa detallado
2. Tendrás acceso anticipado en la inscripción a un precio especial
3. Al formalizar la inscripción tendrás acceso a una tutorización de un caso clínico junto a la Dra. Aránzazu Senosiain (Ortodoncista, Madrid). ¡Sólo las 3 primeras inscripciones!

QUIERO ESTAR EN LA LISTA DE INTERESADOS 

Microneurocirugía Vascular Experimental: Creación y clipaje de aneurismas, y técnicas de reconstrucción y by-pass

CURSO COMPLETO

FECHA: 27, 28 y 29 de octubre de 2025

DIRIGIDO A: Neurocirujanos

DIRECCIÓN DEL CURSO: Dr. Pablo García Feijoo (Neurocirujano, Hospital Universitario La Paz de Madrid) y Dr. Fernando Carceller (Neurocirujano Emérito de la Comunidad Autónoma de Madrid)

Más información

Curso SECOMCyC + Osteoplac/KLS Martin, Traumatología facial y Cirugía reconstructiva. Formación especializada para R3, R4 y R5

CURSO TEÓRICO-PRÁCTICO EN MADRID

FECHA: 31 de octubre de 2025

DIRIGIDO A: Residentes de 3er, 4º y 5º año de Cirugía Oral y Maxilofacial, socios de la SECOMCyC

DIRECTORES: María Mejía (H. U. 12 de Octubre, Madrid) y Fernando Almeida (H. U. Ramón y Cajal, Madrid)

Más información Inscripción

Precongreso del XVI Congreso Nacional de Patología de Base de Cráneo Madrid 2025

PRECONGRESO NACIONAL DE LA SEBAC (EVENTO GRATUITO)

FECHA: 12 de noviembre 2025.

DIRIGIDO A: Endocrinólogos, Otorrinolaringólogos, Neurocirujanos y Cirujanos Orales y Maxilofaciales.

PRESIDENTE: Dr. Luis Lassaletta (ORL, Madrid). VICEPRESIDENTES: Dr. José Luis Cebrián (CMF, Madrid) y Dr. Carlos Pérez López (NRC, Madrid)

Más información Inscripción

XVI Congreso Nacional de Patología de Base de Cráneo Madrid 2025

CONGRESO NACIONAL DE LA SEBAC

FECHA: 13 y 14 de noviembre 2025.

DIRIGIDO A: Otorrinolaringólogos, Neurocirujanos y Cirujanos Orales y Maxilofaciales.

PRESIDENTE: Dr. Luis Lassaletta (ORL, Madrid). VICEPRESIDENTES: Dr. José Luis Cebrián (CMF, Madrid) y Dr. Carlos Pérez López (NRC, Madrid)

Más información Inscripción

Curso SECOMCyC + Osteoplac/KLS Martin, Avances en Cirugía Reconstructiva. Técnicas y aplicaciones de colgajos. Formación especializada para R4 y R5

CURSO PRÁCTICO SOBRE CADÁVER

CURSO COMPLETO

FECHA: 20 Y 21 de noviembre de 2025

DIRIGIDO A: Residentes de 4º y 5º año de Cirugía Oral y Maxilofacial

DIRECCIÓN DEL CURSO: Dra. Coro Bescós (Jefe de Servicio de Cirugía Oral y Maxilofacial, H. U. Vall d'Hebron) y Dr. Antonio Marí Roig (Jefe de Servicio de Cirugía Oral y Maxilofacial, H. U. Bellvitge)

Más información

8th Mapping Course Bellvitge 2025

HANDS-ON COURSE!

DATE: November 25th - 28th, 2025

AIMED AT: Neurosurgeons, neurologists, neurophysiologists, neuroradiologists, neuropsychologists, anesthetists

LANGUAGE: English

VENUE: Barcelona, Spain

More information  Registration

Neuropsychological Assistance Workshop - 8th Mapping Course Bellvitge

WORKSHOP

DATE: November 26th - 28th, 2025

AIMED AT: Neurosurgeons, neurologists, neurophysiologists, neuroradiologists, neuropsychologists, anesthetists

LANGUAGE: English

VENUE: Barcelona, Spain

More information  Registration

Skull Base Week 2026

PRÁCTICAS EN SALA DE DISECCIÓN Y CIRUGÍAS EN VIVO

FECHA: 18, 19 y 20 de febrero, 2026

DIRIGIDO A: Neurocirujanos, Otorrinolaringólogos y especialidades afines

LUGAR: Barcelona

Más información  Inscripción

XV Congreso Nacional de la Sociedad Española de Fisuras Faciales

CONGRESO NACIONAL DE LA SOCEFF

FECHA: 22, 23 y 24 de octubre, 2026

LUGAR: Sevilla

Más información 

Ortodoncia Quirúrgica y Cirugía Ortognática

CURSO MODULAR EN MADRID: Próximamente publicaremos las fechas de la siguiente edición

FECHA: 2026 (Inicio de la próxima edición)

DIRIGIDO A: Ortodoncistas y Cirujanos Maxilofaciales

IDIOMA: Castellano

LUGAR: Madrid, España

Más información (edición actual 2025) 

Copyright 1997 - 2025 FORMEDIKA - Todos los derechos reservados

Paseo Urumea, 3 – bajo. 20014 Donostia-San Sebastián. Guipúzcoa. ESPAÑA.

t: +34 943 468 441 f: +34 943 460 947 m: info@formedika.com